猪附红细胞体病详解
清远容大生物工程有限公司市场技术部收集整理
1 简介
猪附红细胞体病是由附红细胞体寄生于猪的红细胞表面或游离于血浆、组织液及脑脊液中引起的一种人畜共患病,猪发病时,皮肤发红,故又称“猪红皮病”。

图 1 病猪皮肤发红
2 流行病学
2.1 传播途径
⑴ 通过摄食血液或含血的物质,如舔食断尾的伤口、互相斗殴或喝被血液污染的水与 尿而发生直接传播;
⑵ 经由节肢动物叮咬以及器械的机械性发生间接传播,如猪虱、蚊虫、 吸血蝇、疥螨、被污染的注射器、用于断尾、打耳号、去势的器械等;
⑶ 妊娠母猪感染后 可通过胎盘传给胎儿,发生垂直传播;
⑷ 此外,配种也可传播该病。
2.2 流行季节和地区
该病四季均可发生,但多发生在高温高湿的 7~9 月。
2.3 易感猪群
不同年龄的猪均有易感性,通常发生在哺乳猪、怀孕的母猪以及受到高度应激的肥育猪身上。
2.4 诱发因素
附红细胞体病是由多种原因引发的疾病,只有在应激和肌体抗病力降低的情况下才会诱发此病。如饲养管理不良、天气突变、突然换料、更换圈舍、密度过大等应激因素或患猪瘟、猪蓝耳病、传染性胸膜肺炎、猪链球菌病、副猪嗜血杆菌病等慢性病时,最易并发和继发附红细胞体病。
3 临床症状
3.1 一般症状
病猪体温突然升高为 40.5℃~42℃,皮肤发红,指压退色;精神不振,食欲减退,怕 冷聚堆,咳嗽、流鼻涕,呼吸困难,尿液淡黄。发病中期,病猪行走时后躯摇晃,喜卧厌立,便秘或拉稀,精神沉郁,呼吸困难;血液稀薄,色淡,往往随注射针孔流血不止;皮毛枯燥,背腹部毛色铁锈色,皮肤苍白,耳内侧、背侧、颈背部、腹侧部皮肤出现暗红色出血点,可视黏膜轻度肿胀,初期潮红,后期苍白,轻度黄疸;尿液淡黄、淡红或呈红褐色,卧地不起。后期,病猪耳朵变蓝色、坏死,排血便和血红蛋白尿,最后四肢呈游泳状划动,呼吸困难,衰竭死亡。

图 2 病猪皮肤上有出血点

图 3 病猪耳廓坏死

图 4 病猪全身出血
3.2 母猪症状
部分怀孕母猪出现早产、产弱子、流产,但胎儿或死胎皮肤黏膜苍白,皮下脂肪黄染,胸腹腔有淡黄色或淡红色的积液。产房母猪分娩后,常伴有乳房和阴唇水肿,产后感染和泌乳不良、缺乏母性等特征。病愈母猪死胎率明显升高,哺乳母猪发情延迟。
3.3 仔猪症状
哺乳子猪通过母乳感染,表现消瘦、拉黄色稀便、黄疸、背毛黄染、贫血、呼吸困难,病死率为 30%~80%,死后耳尖、尾根、四肢末端和腹下皮肤发绀。
4 病理变化
可见血液稀薄,皮下水肿,粘膜、浆膜、腹腔内的脂肪、肝脏等呈不同程度的黄染;全身淋巴结肿大,肺脏水肿;心包积液;肝脾肿大,边缘有粒大至黄豆粒大稍隆起的紫色梗死灶;胆囊肿大,胆汁充盈;肾脏有出血点或表现为贫血,腹水增多。
5 诊断
依据流行病学、临床症状、剖检变化等可作出初步诊断。确诊必须结合实验室检查,分析血液学指标变化。必要时可以通过切除疑似感染猪的脾脏或将疑似感染猪的血液输给切除脾脏的猪来确诊。这是因为切除脾脏后 3-20 d(最多为 20 d),被猪附红细胞体感染的猪呈急性发病经过。
5.1 临床诊断
猪附红细胞体病的发热、贫血、黄疸等症状具有一定的诊断意义,其他临床症状,如食欲减退、呼吸急迫、心悸亢进等非特征性症状在本病的诊断上意义不大。
5.2 病理学诊断
猪患附红细胞体病后全身各部均无特征性的病理变化,一般无需作病理学检查。因此,对本病确诊,必须先进行实验室检查。
5.3 实验室诊断
实验室诊断的方法很多,如可用间接红细胞凝集试验、补体结合试验、相差显微镜观察和染色血液涂片观察等。间接红细胞凝集试验和补体结合试验反应敏感、检出率高,但试验条件要求高,需要时间较长。相差显微镜观察和染色血液涂片观察以及鲜血直接压片,所需设备和药品较少,且操作简单、快捷,检出率也较高,一般在半个小时内即可作出确切诊断。
5.3.1 相差显微镜观察法
从可疑病猪的耳尖采血,用玻璃棒蘸取血液一小滴,滴于载玻片的中央,盖上盖玻片, 制成血液压片(也可制成悬滴标本),置相差显微镜下进行观察。如果在许多红细胞上都发现有猪附红细胞体,即可作出确切诊断。
5.3.2 鲜血压片镜检
从耳静脉取病猪血液一滴于载玻片上,加等量生理盐水混合、加盖玻片,在显微镜下观察,若发现猪的红细胞变形,还可以看到在血浆中抖动、转动的原点状病原体,见到变形的血细胞及呈淡绿色荧光的附红细胞体,为阳性。
5.3.3 血片染色镜检
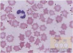
取死猪血液于载玻片上推片,以姬姆萨染色镜检,可见红细胞边缘不整齐,呈菜花状、星状,红细胞表面有许多圆形、椭圆形紫红虫体,轻轻旋动显微镜微调,可见附红体折光性很强,像一轮轮淡蓝色宝石(红细胞),嵌着一颗颗闪闪发光的珍珠(附红细胞体)一样,以瑞氏染色,可见虫体呈紫蓝色,个别为黄色,为阳性。革兰氏染色呈阴性。

图 5 红细胞呈菜花状
5.4 鉴别诊断
5.4.1 猪肺疫与猪附红细脑体病
症状相似处:体温高(41℃~42℃),耳、胸前、腹下、股内侧皮肤紫红,气喘,呼吸困难,犬坐等。症状不同处咽喉型咽颈肿胀,口流鼻液。猪肺疫喉部及其周围结缔组织出血性浆液浸润。胸膜有纤维性肺炎,切面大理石纹,抗生素药物及时治疗有效。
5.4.2 猪气喘病与猪附红细胞体
病症状相似处有传染性气喘,呼吸困难,体温高(40℃以上)等。症状不同处:猪气喘病一般体温不高,咳嗽呈痉孪性,体表皮肤有少量出血性紫斑。
5.4.3 猪弓形体病与猪附红细胞体病
症状相似处:体温高(40℃~42℃),食欲减退或废绝,精神萎顿,粪初干、后干稀交替,呼吸浅快、困难,耳、下肢、下腹皮肤可见紫红色斑等。症状不同处:猪弓形体病病猪有流水样鼻液,虫体浸害脑部时有癫痫样痉挛,后躯麻痹。剖检可见肺淡红或橙黄膨大,有光泽,表面有出血点,肠系膜淋巴结髓样肿胀,如粗绳索样,切面有粒大出血点。回盲瓣有点状浅表性溃疡,盲肠、结肠可见到散在的小指大和中心凹陷的溃疡,磺胺类药物治疗有效。
5.4.4 蓝耳病与猪附红细胞体病
症状相似处初生仔猪类似猪流感症状,有的生死胎或呈“木乃伊”,妊娠母猪,百天左右,突然出现厌食,体温高或低,鼻流清涕,鼻端耳尖发凉,喜卧嗜睡。症状不同处:蓝耳病病猪耳尖耳边缘呈现蓝紫色,个别猪鼻端瘙痒,鼻盘擦地,极度不安,临产母猪多数死亡,或超过预产期,阴门流出褐白色粘稠性分泌物。屡配不孕,配后个别流产,能产出弱仔猪,不到 24 小时后死亡。个别仔猪呼吸困难,耳、鼻盘呈蓝紫色,多数死亡。断奶后 50~60 天,仔猪也有少数蓝耳现象,两天后消退。
5.4.5 猪传染性胸膜肺炎与猪附红细胞体病
症状相似处:体温高(40.2℃~42.7℃),呼吸困难,呈犬坐势,耳、鼻、四肢皮肤紫蓝色,剖检可见肺泡与间质水肿等。症状不同处:猪传染性胸膜肺炎多发生于 4~5 月和 9~11 月,以 6 周至 6 月龄多发,从口鼻流出泡沫样血色分泌物。剖检可见胸膜和肺表面有纤维性渗出物附着,抗生素药物及时治疗有效。
附红细胞体病患猪常伴发细菌性、病毒性或寄生虫性等疾病,如链球菌病、猪水肿病、仔猪副伤寒、猪肺疫、猪丹毒、猪瘟、弓形虫病等。这些病原体易污染猪舍环境,使隐性感染猪的抵抗力下降,并呈现混合感染,导致高死亡率及巨大的经济损失。故在临床上,应充分重视,并予相应对症的治疗,以保证安全。
现在国内外治疗猪附红细胞体病大多采用抗生素、磺胺类、砷制剂等药物进行治疗,症状有所缓解,猪皮肤的颜色恢复正常,“治愈”后仍然可以从体内检测出猪附红细胞体,仍可以传染给人或其他动物,达不到标本兼治的目的。
6 治疗与预防
6.1 治疗
治疗猪附红细胞体病的药物虽有多种,但真正有特效的不多,每种药物对病程较长和症状严重的猪效果都不好。由于猪附红细胞体病常伴有其他继发感染,因此对其治疗必须附以其他对症治疗才有较好的疗效。下面是几种常用的药物:
⑴ 血虫净(或三氮眯、贝尼尔) 每公斤体重用 5mg-10mg,用生理盐水稀释成 5%溶液, 分点肌肉注射,1 天 1 次,连用 3 天。
⑵ 咪唑苯脲 每公斤体重用 1mg-3mg,1 天 1 次,连 用 2 天-3 天。
⑶ 四环素、土霉素(每公斤体重 10mg和金霉素(每公斤体重 15mg口服或肌注 或静注,连用 7 天-14 天。
⑷ 新胂凡纳明 按每公斤体重 10mg-15mg静脉注射,一般 3 天后 症状可消失。
6.2 预防
预防本病的发生应加强猪场的卫生防疫,消除各种应激因素。在温热季节应定期喷洒杀虫剂,以杀灭蚊、蝇、蜱、牛虻、体虱、跳蚤等吸血昆虫,消除传染媒介。发病猪只要进行及时有效的治疗。 对无治疗价值的病猪应及时进行淘汰,以清除传染源。阳性猪群,饲料中可添加四环素等,以消除隐性感染。购入猪只要进行血液检查,防止引入病猪或隐性感染猪。本病流行季节给予预防用药,可在饲料中添加上霉素或金霉素添加剂,或每公斤饲料添 加 90 毫克阿散酸或 45 毫克洛沙砷(母猪慎用),连续使用 30 天。
(仅供学习参考使用)



