肉鸡球虫病
鸡球虫病是养鸡业中危害最严重的疾病之一,特别是在南方地区,由于气温高,湿度大,利于球虫卵囊的生长发育,常常是暴发性流行。
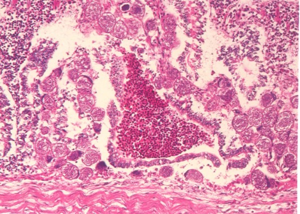
有鸡的地方就有球虫存在,少量感染仅引起不易察觉的损伤,而且可使鸡产生保护性免疫,在临床上称球虫感染。当大量的球虫卵囊在鸡舍堆积,鸡只大量感染球虫卵囊,引起可见症状的,称球虫病,在集约化养鸡场易于发生,造成大批死亡。
鸡球虫病常引起15~50日龄的雏鸡发病,死亡率高达80%,病愈的雏鸡,生长严重滞后,抵抗力降低,易患其他疾病。全世界因为鸡球虫病造成的损失高达数十亿美元。
病原形态
柔嫩艾美尔球虫(E.tenella)
• 寄生于盲肠,其卵囊大小为 22×19μm,形状指数为1.16, 裂殖体很大,直径可达54μm,第一代裂殖体包含的裂殖子可达900个,第二代为350个,孢子化时间为18h,潜隐期为138h。
毒害艾美尔球虫(E.necatrix)
• 其第一、二代裂殖生殖在鸡小肠,第三代裂殖生殖和配子生殖在盲肠。卵囊呈卵圆形,大小为(12~29)×(11~24)μm,囊壁无色、光滑。具极粒,孢子囊呈卵圆形,有斯氏体,无残体。
布氏艾美尔球虫(E.brunetti)
• 寄生于小肠后段、 直肠和盲肠近端区。卵囊大小为24.6×18.8μm,是鸡球虫中仅次于巨型艾美球虫的第二大型卵囊。形状指数为1.31。有一极粒,无残体和卵膜孔。裂殖体直径为30μm。孢子化时间为18h,潜隐期为120h。
堆型艾美尔球虫(E.acevulina)
• 寄生于小肠前段,卵囊呈卵圆形,光滑。大小为(12~23)×(9~17)μm。具粒,无残体。孢子囊呈卵圆形,有斯氏体。
巨型艾美尔球虫(E.maxima)
• 寄生于小肠中段。卵囊很大, 最大的卵囊达到42.5~29.8μm,是鸡球虫中最大型的卵囊,卵囊呈金黄色。其形状指数为1.47。最大的裂殖体直径为9.4μm。
和缓艾美尔球虫(E.mitis)
• 寄生于小肠前段。卵囊较小,有一极粒,无卵膜孔,也无残体。
早熟艾美尔球虫(E.praecox)
• 寄生于小肠上段1/3处。卵囊呈卵圆形,大小为21.3×17.1μm,形状指数为1.24,光滑、无色,无卵膜孔和残体,具极粒。孢子囊无残体。

生活史
•内生性发育:
–裂殖生殖
–配子生殖
•外生性发育:
–孢子生殖
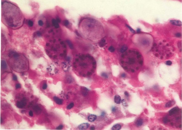
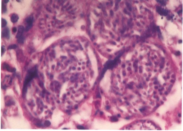
裂殖生殖
• 球虫卵囊壁在肌胃的机械作用下破裂,释放出孢子囊。孢子囊在十二指肠和小肠中部受胆汁、酶的作用下,孢子囊溶解,子孢子逸出,子孢子迅速侵入肠粘膜上皮细胞内,变为球形的滋养体。在感染后1~2天内,滋养体迅速生长,细胞核进行无性的复分裂,即裂体增殖。

配子生殖
• 经反复数次裂殖生殖之后,有的裂殖子成为雄性的小配子体,有的成为雌性的大配子体。配子体经1~2天成熟,小配子体中形成许多具有两根鞭毛的小配子。小配子离开宿主细胞,进入大配子,完成受精过程。大配子受精成为合子。其表面形成一厚壁,合子即变为卵囊。

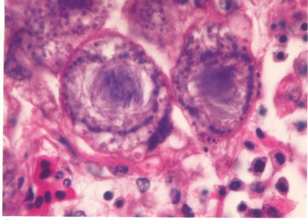
孢子生殖
• 刚随家禽粪便中排出的卵囊是未孢子化卵囊,在外界适宜环境(温度、湿度和氧气)下,细胞核和细胞质发生分裂,最终形成8个子孢子,包含在4个孢子囊中,即发育成孢子化卵囊。
请点击链接下载继续浏览:
upfiles/201610/12/9b67634dc81f84cd.zip



